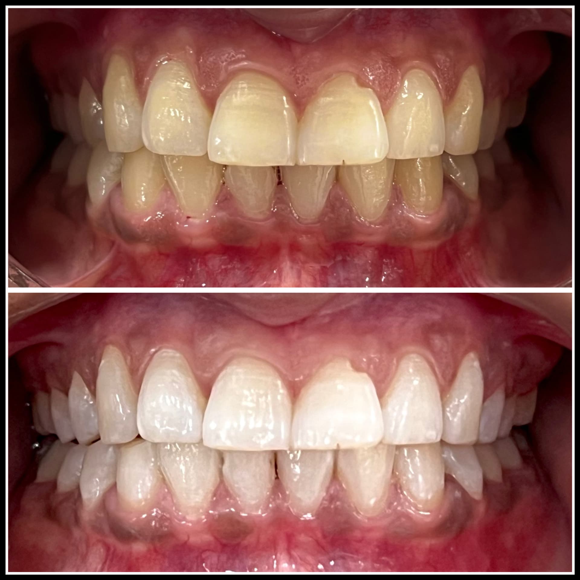
Teeth Whitening/Bleaching
Teeth whitening for patients with yellow or stained teeth

Ready to Get Started?
Book a consultation with Dr. Sneha Kedia to discuss your teeth whitening/bleaching options.
Contact Me
Have questions about Teeth Whitening/Bleaching? Send a message and we will contact you soon.